発熱外来
発熱外来
インフルエンザと新型コロナウィルス迅速同時検査キットを用います。約15分で陽性または陰性の結果が出ます。写真は、陽性の場合の検査結果です。
インフルエンザも新型コロナウィルスも陰性の患者さんには、必要に応じて迅速血算+CRP測定を行い、約5分で血液中の炎症反応を評価します。
写真は、WBC(白血球)とCRP(C反応性タンパク)が基準値より高い、炎症反応陽性の検査結果です。
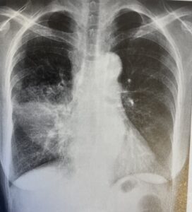
咳が続いているなど、肺炎が疑われる患者さんには、胸部レントゲン写真も実施します。
【肺炎の胸部レントゲン写真】

腰痛や背部痛が続いているなど、腎盂腎炎が疑われる患者さんには、尿検査も実施します。
下の写真は実際の尿検査結果で、OB 1+とは尿潜血があり、WBC 1+とは尿中に細菌に対する白血球があることを示しています。つまり、尿中に細菌がいる可能性が高いことが分かります。

インフルエンザまたは新型コロナウィルス陽性の患者さんには、専用のお薬を処方します。
下の写真は、インフルエンザ治療薬です。内科では、通常は写真上の吸入薬を処方しますが、吸入が難しい患者さんには写真下の飲み薬を処方します。
下の写真は、当院の新型コロナウィルス治療薬です。新型コロナウイルスが作られるのに必要な酵素の働きを抑え、同ウイルスが体内で増えるのを防ぐ薬です。
迅速血算+CRP測定結果の炎症反応の程度によって、抗生剤の静脈注射または飲み薬処方をします。
下の写真は、当院の抗生剤の飲み薬と注射薬です。左2剤は抗生剤の飲み薬(バナン、フロモックス)、右は抗生剤の注射薬(セフトリアキソンN a)です。
鼻水、のどの痛み、せき、たんなどの症状がある患者さんには、御希望に応じて、症状を和らげるお薬(風邪薬と同じ)も処方します。
下の写真は、当院の風邪薬です。左から鼻水の薬(フェキソフェナジン)、のど痛の薬(トランサミン)、せきの薬(コルドリン)、たんの薬(アンブロキソール)、のど痛のトローチ(SPトローチ)です。
下の写真は、当院の解熱薬です。左が非ステロイド系抗炎症薬(ロキソニン)、右がアセトアミノフェン(カロナール)です。頓服で処方することが多いです。

下の図は、2026年5月24日の朝日新聞be5面に掲載された「発熱のしくみと主な解熱薬の効果のイメージ」です。解熱薬は、高熱で苦しくて、眠れなかったり食欲がなくなったりした時に効果的です。

熱中症が疑われる方には、点滴を実施します。